An unusual presentation of adenosquamous carcinoma of gallbladder
Keywords:
adenosquamous, gallbladder, carcinoma, wedge resectionAbstract
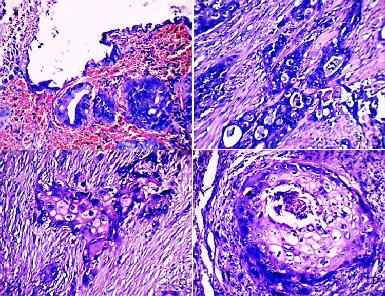
Carcinoma of the gallbladder is the most common malignancy of the biliary tract. Although adenocarcinomas account for more than 90% of gallbladder cancers, the incidence of adenosquamous carcinomas (ASCs) is only approximately 5%. ASCs have aggressive biological behavior due to their potential for direct extension into the liver and neighboring structures like stomach, duodenum, and transverse colon. In most cases, the disease would have advanced at the time of diagnosis and the prognosis might be dismal when compared to ordinary adenocarcinoma of the gallbladder. We present here a rare case of ASC of gallbladder in a 59-yr-old female who presented with right upper abdominal pain.
References
Mingoli A, Brachini G, Petroni R, Antoniozzi A, Cavaliere F, Simonelli L et al. Sqaumous and adenosquamous cell carcinomas of the gallbladder. J Exp Clin Cancer Res. 2005 Mar;24(1):143-50.
Bagdasaryan R, Miroshnichenko H. Adenosquamous cell carcinoma of the gallbladder. Images in medicine 2011;94(1):19.
Rustagi T, Rai M, Menon M. Ruptured adenosquamous cell carcinoma of the gallbladder: Case report and review of literature. Case reports in GI oncology 2011;4(1):29-32.
Levy AD, Murakata LA, Rohrmann CA. Gallbladder carcinoma: radiologic pathologic correlation. AFIP Archives 2001;2(2):295-314.
Miao X, Yang ZL, Xiong L, Zou Q, Yuan Y, Li J, et al. Nectin-2 and DDX3 are biomarker for metastasis and poor prognosis of squamous cell/adenosquamous carcinomas and adenocarcinoma of gallbladder. Int J ClinExpPathol 2013;6(2):179-90.
Roa JC, Tapia O, Cakir A, Basturk O, Dursun N, Akdemir D et al. Squamous cell and adenosquamous carcinomas of the gallbladder: clinicopathological analysis of 34 cases identified in 606 carcinomas. Modern Pathology 2011;24(8):1069-78.
Singh S, Ansari MA, Narayan G. Pathobiology of gall bladder cancer. J Scientific Research 2012;56:35-45.
Published
Issue
Section
License
Copyright for articles published in this journal is retained by the authors, with first publication rights granted to the ‘Internet Journal of Rheumatology and Clinical Immunology’. All the published content, except where otherwise noted, is licensed under Creative Commons license (CC-BY). However, the license permits any user to download, print out, extract, reuse, archive, and distribute the article for non-commercial purposes, so long as appropriate credit is given to the authors and source of the work.
Authors are permitted and encouraged to post their work online (e.g., in institutional repositories or on their website) after the publication of the manuscript in IJRCI, as it can lead to productive exchanges, as well as earlier and greater citation of published work.