Alveolar soft part sarcoma: A rare cytological impression

Authors

  • Kafil Akhtar
  • Afzal Anees

Keywords:

Alveolar soft part sarcoma, Anterior Chest wall, Cytology.

Abstract

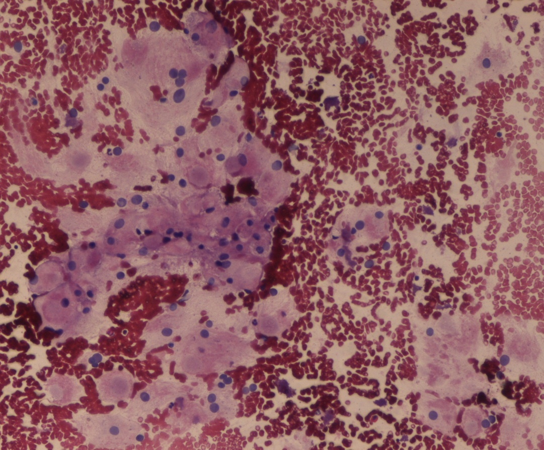
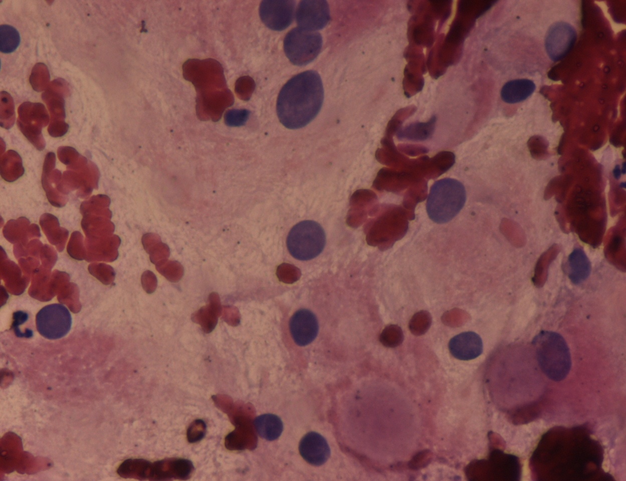
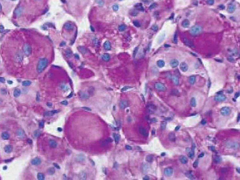
Alveolar soft part sarcoma (ASPS), a malignant soft tissue tumor with unknown etiology, predominantly occurs in the head and neck region, mainly the tongue and the orbit. The characteristic histopathological feature includes alveolar or pseudoglandular pattern, with PAS-positive, diastase-resistant intra-cytoplasmic inclusions. Primary therapy is total resection and adjuvant chemoradiation therapy. The present case study describes a rare case of ASPS of the anterior chest wall in a 15-year-old patient, diagnosed on fine-needle aspiration cytology. Total resection of the tumor with chemo-radiotherapy was performed and the follow-up after 2 years showed neither local recurrence nor distant metastases.

References

Weiss SW and Goldblum JR. Malignant soft tissue tumors of uncertain type. In: Weiss SW, Goldblum JR, editors. Enzinger and Weiss’s soft tissue tumors. 4th ed. St. Louis: Mosby; 2001. pp. 1509-1521.

Zarrin KN and Kaye KS. Alveolar soft part sarcoma. Arch Pathol Lab Med 2007; 131: 488-491.

Daigeler A, Kuhnen C, Hauser J, Goertz O, Tilkorn D, Steinstraesser L et al. Alveolar soft part sarcoma: Clinicopathological findings in a series of 11 cases. World J Surg Oncol 2008; 6:71-74.

Wakely PE, Jr, McDermott JE, Ali SZ. Cytopathology of alveolar soft part sarcoma: A report of 10 cases. Cancer 2009; 117: 500-507.

Carter JE, Evans TN, Tucker JA. Cytologic diagnosis of alveolar soft part sarcoma of the lower extremity by fine needle aspiration and correlation with core biopsy: A case report. Acta Cytol 2008; 52: 459-463.

Logrono R, Wojtowycz MM, Wunderlich DW, Warner TF, Kurtycz DF. Fine needle aspiration cytology and core biopsy in the diagnosis of alveolar soft part sarcoma presenting with lung metastases. A case report. Acta Cytol 1999; 43: 464-470.

Kim NR, Ro JY, Cho E-K, Kim M-J, An J, Ha SY. Cytologic findings of alveolar soft part sarcoma presenting with multiple pulmonary masses-A case report with review of literature. Korean J Pathol 2011; 45:119-124.

Machhi J, Kouzova M, Komorowski DJ, Asma Z, Chivukala M, Basir Z et al. Crystals of alveolar soft part sarcoma in a fine needle aspiration biopsy cytology smear. A case report. Acta Cytol 2002; 46: 904-908.

Neda ZK, and Kim SK. Alveolar Soft Part Sarcoma. Arch Pathol Lab Med 2007;131: 488-491.

Folpe AL and Deyrup AT. Alveolar soft-part sarcoma: A review and update. J Clin Pathol 2006; 59:1127-1132.

Gupta N. Cytology of soft tissue tumors: Miscellaneous soft tissue tumors. J Cytol 2008; 25:97-99.

Landanyi M, Antonescu CR, Drobnajak M, Baren A, Lui MY, Golde DW et al. The precrystalline cytoplasmic granules of alveolar soft part sarcoma contain monocarboxylate transporter 1 and CD147. Am J Pathol 2002; 160:1215-1221.

Downloads

Published

30-05-2016

Issue

Section

Case Studies