Overlap syndrome of ankylosing spondylitis and mixed connective tissue disease in female

Authors

  • Subramanian Nallasivan Velammal Medical College Hospital and Research Institute, Madurai
  • Ramesh Rajendran Professor of Medicine, Velammal Medical College, Madurai
  • Selva Ganesh Mariappan CONSULTANT CARDIOLOGIST, VELAMMAL MEDICAL COLLEGE HOSPITAL
  • Premananth Palaninathan ASST PROG, RESPIRATORY MEDICINE, VELAMMAL MEDICAL COLLEGE HOSPITAL, MADURAI
  • Shruthi Sundara CRRI, VELAMMAL MEDICAL COLLEGE HOSPITAL, MADURAI

DOI:

https://doi.org/10.15305/ijrci/v9i1/350

Keywords:

ankylosing spondylitis, mixed connective tissue disease, HLA B27, U1RNP, overlap syndrome, female

Abstract

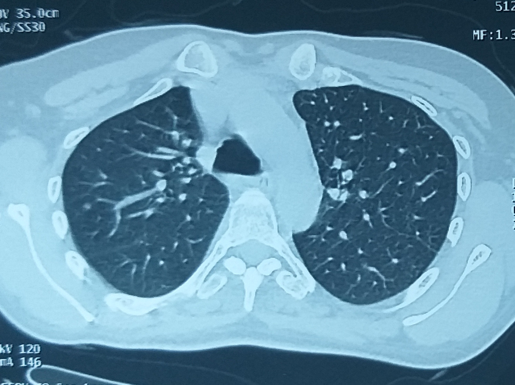
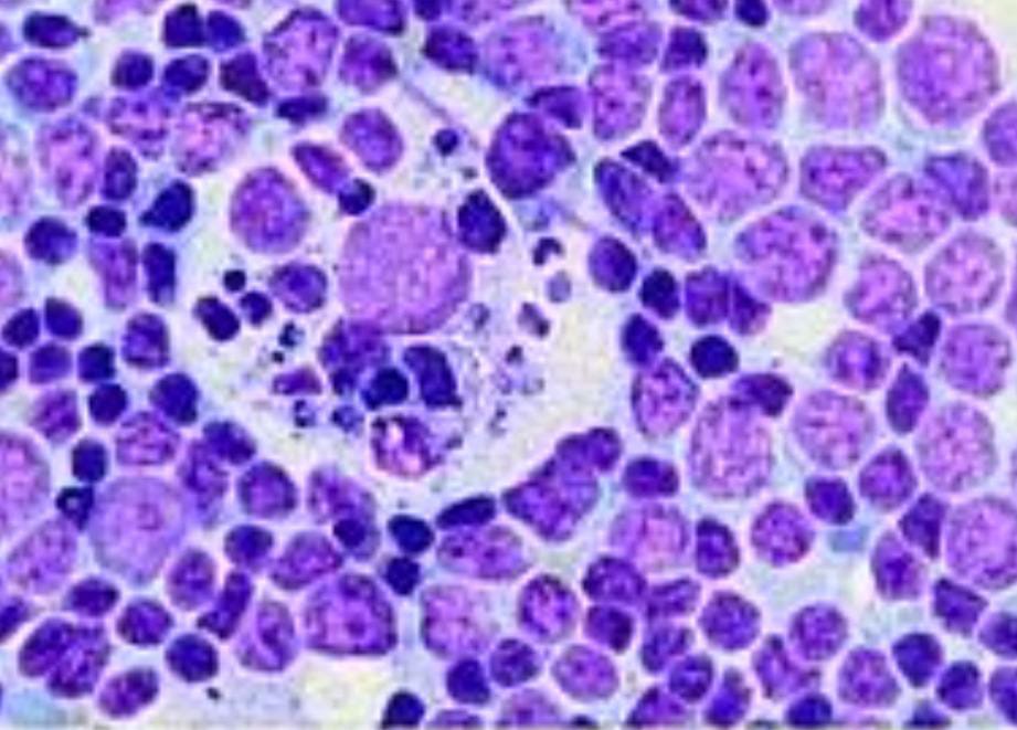
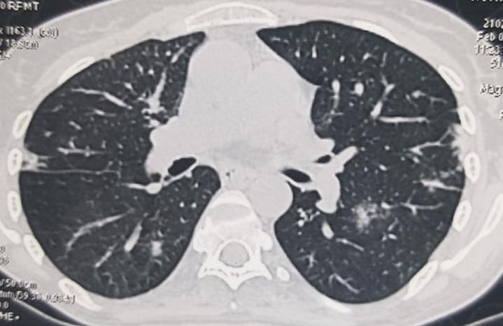
Ankylosing spondylitis is a chronic inflammatory disease affecting the young men and less commonly women with a spectrum of manifestations including uveitis, arthritis, sacroiliitis, colitis and psoriasis (spondyloarthropathy). Mixed connective tissue disorder (MCTD) is a complex and heterogenous autoimmune disease that affects women in their childbearing age. It is characterized by circulating autoimmune antibodies that deposit in tissues, resulting in inflammatory response, causing irreparable tissue damage. Overlap and co-existence of these diseases are uncommon, as per literature evidence. The present study has reported the case of a 35-year-old female, who had HLA B27-positive spondyloarthropathy for 10 years and had been receiving sulfasalazine, and had neck swelling for 4 months. Screening conducted for TB in view of fever, weight loss and neck nodes, had reported negative results. She was found to have Reynaud’s disease, arthritis, bilateral cervical lymphadenopathy and elevated autoantibody titers including ANA, U1SM/RNP and Coombs-positive hemolysis. The diagnosis was concluded as MCTD and she had responded well to the treatment. As per the available literature, this could be touted as the first case study of a female patient with ankylosing spondylitis and MCTD.



Author Biography

Subramanian Nallasivan, Velammal Medical College Hospital and Research Institute, Madurai

Dept of Medicine and Rheumatology

References

Sharp GC, Irvin WS, Tan EM, Gould RG, Holman HR. Mixed connective tissue disease--an apparently distinct rheumatic disease syndrome associated with a specific antibody to an extractable nuclear antigen (ENA). Am J Med. 1972 Feb;52(2):148-59.

Lee JK, Jung SS, Kim TH, Jun JB, Yoo DH, Kim SY. Coexistence of ankylosing spondylitis and mixed connective tissue disease in a single patient. Clin Exp Rheumatol. 1999 Mar-Apr;17(2):263.

Pham T, Daumen-Legre V, Lafforgue P. Concomitant spondylarthropathy and CREST syndrome. Clin Exp Rheumatol. 1999 Nov-Dec;17(6):754.

Brandt J, Maier T, Rudwaleit M, Kühl U, Hiepe F, Sieper J, Braun J. Co-occurrence of spondyloarthropathy and connective tissue disease: development of Sjögren’s syndrome and mixed connective tissue disease (MCTD) in a patient with ankylosing spondylitis. Clin Exp Rheumatol. 2002 Jan-Feb;20(1):80-4.

Dharmapalaiah C, Ms B, Sn P. Spine and a weak heart: a case of long standing ankylosing spondylitis developing pulmonary arterial hypertension secondary to mixed connective tissue disease, conferring poor prognosis. Annals of the Rheumatic Diseases 2020;79:1928-1929.

Ge Y, He L. Coexistence of Axial Spondyloarthritis and Idiopathic Inflammatory Myopathy. Tsay GJ. Case Reports in Rheumatology. 2020 Oct 7;2020:8840642.

Chadrasekhara P, Jayachandran N, Rajasekharan L, Narsimulu G. P71 SLE, dermatomyositis and ankylosing spondylitis overlap-a case report. Indian Journal of Rheumatology. 2006; 3 (1):171-172.

Tanaka Y, Kuwana M, Fujii T, Kameda H, Muro Y, Fujio K, et al. 2019 Diagnostic criteria for mixed connective tissue disease (MCTD): From the Japan research committee of the ministry of health, labor, and welfare for systemic autoimmune diseases. Modern Rheumatology. 2021 Jan;31(1):29-33.

Downloads

Published

17-11-2021

Issue

Section

Case Studies