Burkitt’s Lymphoma in a patient with systemic lupus erythematosus

Authors

  • Jyotsna Laxmikant Oak Consultant Rheumatologist, & Physician, Kokilaben Dhirubhai Ambani Hospital, Mumbai
  • Laxmi Patil Kokilaben Dhirubhai Ambani Hospital, Mumbai,
  • Sandeep Goyle Kokilaben Dhirubhai Ambani Hospital, Mumbai,

DOI:

https://doi.org/10.15305/ijrci/v4i1/209

Keywords:

SLE, Burkitts Lymphoma

Abstract

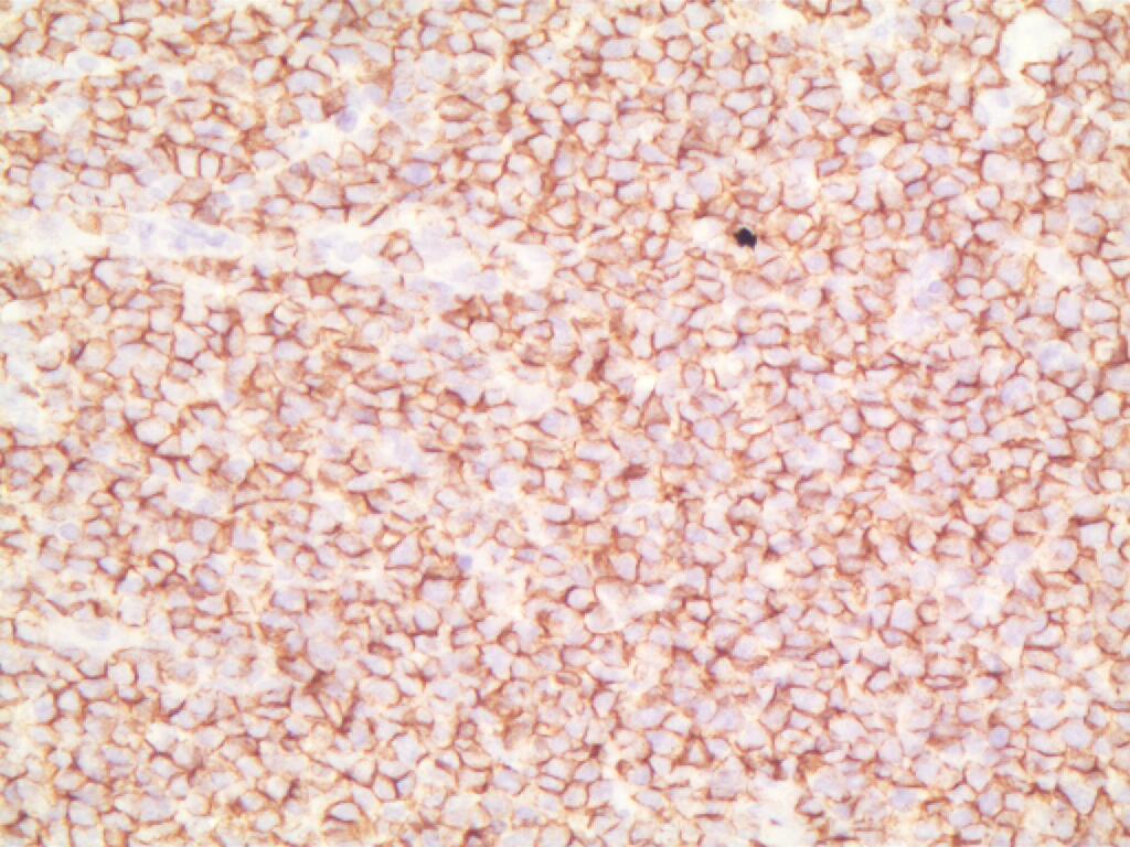
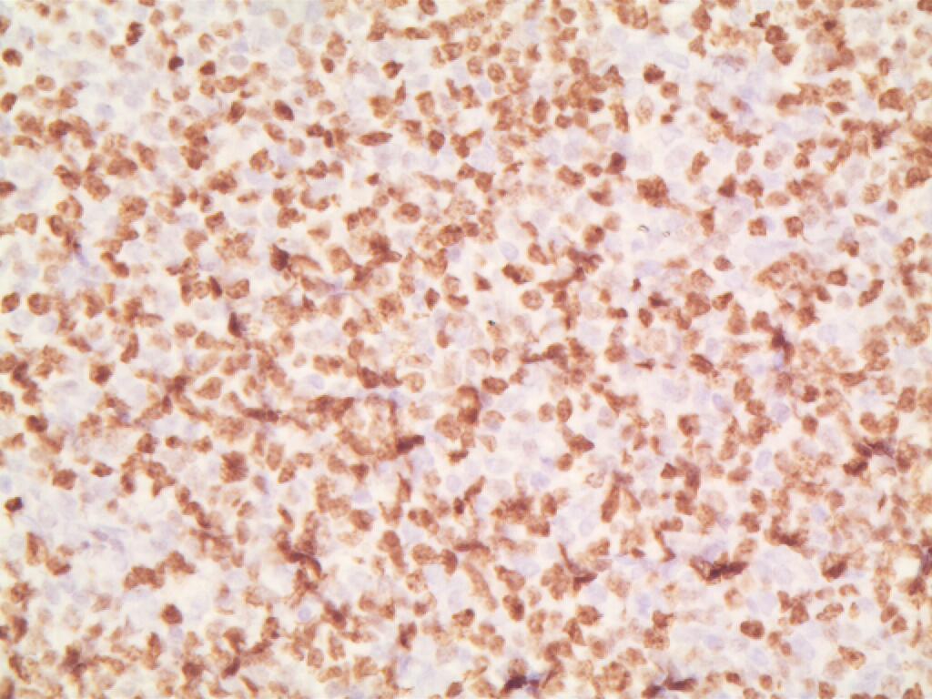
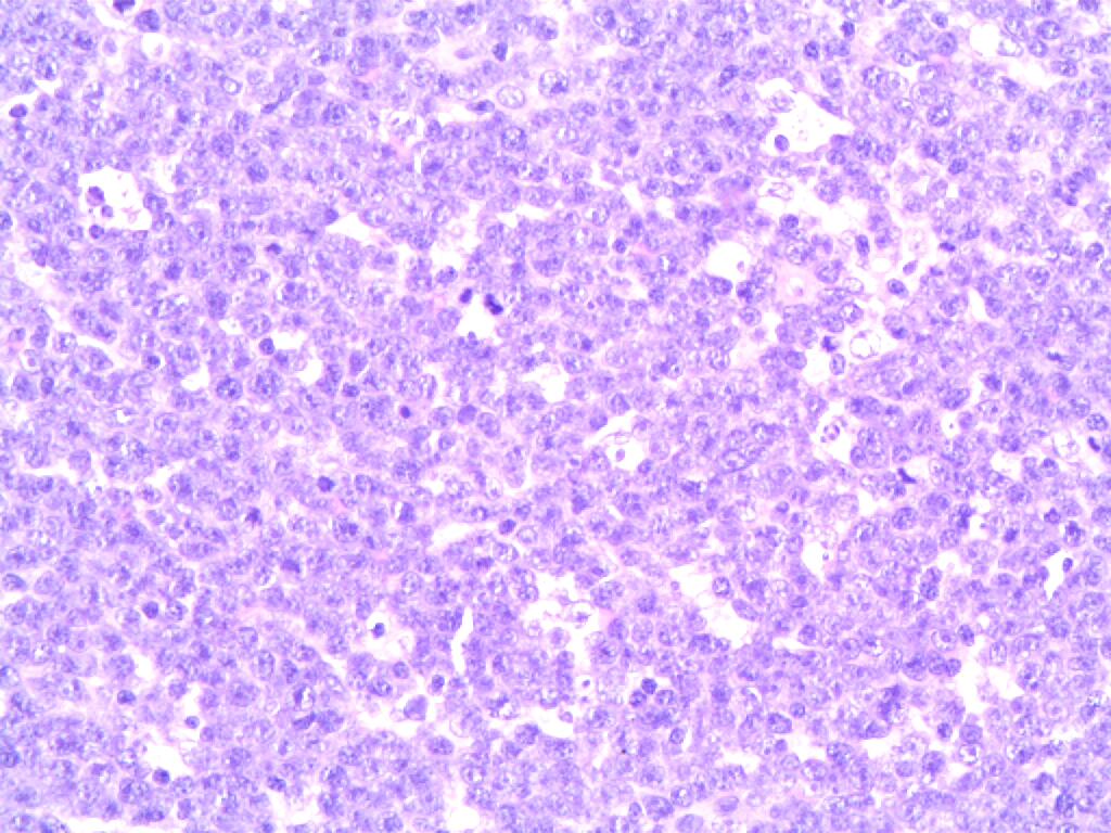
Recent literature evidence has demonstrated a small but definite increase in the risk of malignancies in SLE patients when compared to general population. The present case study reports a rare occurrence of Burkitt’s lymphoma in a 32-year-old female patient who had been diagnosed with SLE around 3 years ago. The study also discusses the possible pathophysiological links between Burkitt’s lymphoma and SLE.

Author Biographies

Jyotsna Laxmikant Oak, Consultant Rheumatologist, & Physician, Kokilaben Dhirubhai Ambani Hospital, Mumbai

Chief, Internal Medicine & Rhumatology, Kokilaben Dhirubhai Ambani Hospital, Mumbai

Laxmi Patil, Kokilaben Dhirubhai Ambani Hospital, Mumbai,

Resident, Dept of Medicine

Sandeep Goyle, Kokilaben Dhirubhai Ambani Hospital, Mumbai,

Consultant, Oncologist

References

Trager J, Ward MM. Mortality and causes of death in systemic lupus erythematosus. Curr Opin Rheumatol. 2001; 13(5): 345–351.

Zintzaras E, Voulgarelis M, Moutsopoulos HM. The risk of lymphoma development in autoimmune diseases: a meta-analysis. Arch Intern Med. 2005; 165(20): 2337–2344.

Bernatsky S, Ramsey-Goldman R, Rajan R, Boivin J-F, Joseph L, Lachance S, et al. Non-Hodgkin’s lymphoma in systemic lupus erythematosus. Ann Rheum Dis. 2005; 64(10): 1507–1509.

Kassan SS, Thomas TL, Moutsopoulos HM, Hoover R, Kimberly RP, Budman DR, et al. Increased risk of lymphoma in sicca syndrome. Ann Intern Med. 1978; 89(6): 888–892.

Abu-Shakra M, Gladman DD, Urowitz MB. Malignancy in systemic lupus erythematosus. Arthritis Rheum. 1996; 39(6): 1050–1054.

Pettersson T, Pukkala E, Teppo L, Friman C. Increased risk of cancer in patients with systemic lupus erythematosus. Ann Rheum Dis. 1992; 51(4): 437–439.

Bernatsky S, Boivin JF, Joseph L, Rajan R, Zoma A, Manzi S, et al. An international cohort study of cancer in systemic lupus erythematosus. Arthritis Rheum. 2005; 52(5): 1481–1490.

Ott G, Rosenwald A. Molecular pathogenesis of follicular lymphoma. Haematologica. 2008; 93(12): 1773–1776.

Bernatsky S, Ramsey-Goldman R, Gordon C, Manzi S, Nived O, Bae SC, et al. Histology, prognostic factors, treatment, and outcome in SLE patients with non-Hodgkins lymphoma [Abstract]. Arthritis and Rheumatism. 2009; 60 (Suppl): S1933.

Dias C, Isenberg DA. Susceptibility of patients with rheumatic diseases to B-cell non-Hodgkin lymphoma. Nat Rev Rheumatol. 2011; 7(6): 360–368.

Löfström B, Backlin C, Pettersson T, Lundberg IE, Baecklund E. Expression of APRIL in diffuse large B cell lymphomas from patients with systemic lupus erythematosus and rheumatoid arthritis. J Rheumatol. 2011; 38(9): 1891–1897.

He B, Chadburn A, Jou E, Schattner EJ, Knowles DM, Cerutti A. Lymphoma B cells evade apoptosis through the TNF family members BAFF/BLyS and APRIL. J Immunol. 2004; 172(5): 3268–3279.

Bellier C, Khellaf M, Lambotte O, Godeau B. Burkitt’s lymphoma in a patient with systemic lupus erythematosus treated with immunosuppressive drugs. A case report. Rev Med Interne. 2006; 27(3): 244–247.

Posner MA, Gloster ES, Bonagura VR, Valacer DJ, Ilowite NT. Burkitt’s lymphoma in a patient with systemic lupus erythematosus. J Rheumatol. 1990; 17(3): 380–382.

Chang DK, Yoo DH, Kim TH, Kim IS, Jun KY, Park MH, et al. Burkitt’s lymphoma presenting as ileocaecal intussusception in systemic lupus erythematosus. Clin Rheumatol. 1999; 18(3): 253–256.

James JA, Kaufman KM, Farris AD, Taylor-Albert E, Lehman TJ, Harley JB. An increased prevalence of Epstein-Barr virus infection in young patients suggests a possible etiology for systemic lupus erythematosus. J Clin Invest ;1997; 100(12): 3019–3026.

Draborg AH, Duus K, Houen G. Epstein-Barr Virus in Systemic Autoimmune Diseases. Clin Dev Immunol. 2013:535738.

Bernatsky S, Ramsey-Goldman R, Joseph L, Boivin J-F, Costenbader KH, Urowitz MB, et al. Lymphoma risk in systemic lupus: effects of disease activity versus treatment. Ann Rheum Dis. 2014; 73(1): 138–42.

Downloads

Published

23-11-2016

Issue

Section

Case Studies