Correlation of Lauren’s histological type and expression of E-cadherin and HER-2/neu in gastric adenocarcinoma
Keywords:
E-cadherin, Gastric adenocarcinoma, HER-2/neu, Lauren’s classificationAbstract
Background: To evaluate whether a proven association between clinicopathological features and expression of molecular markers could provide a clue towards the relevance of these markers in gastric adenocarcinoma (GAC).
Aims: The present study aimed to find any relation between immunohistochemical expression of E-cadherin and HER-2/neu proteins, and Lauren’s histological type and stages of GAC.
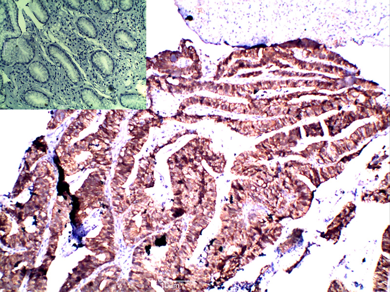
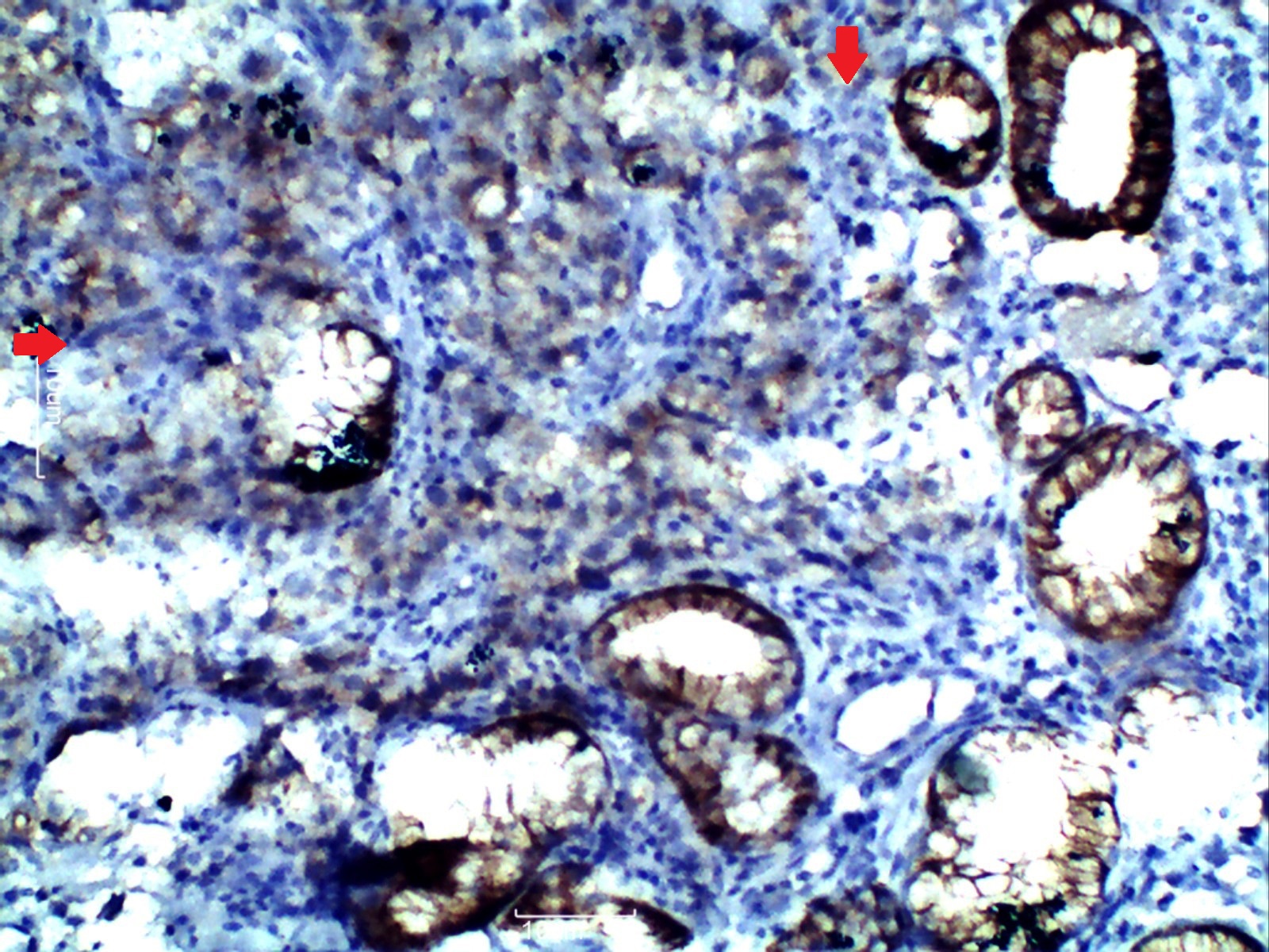
Materials and Methods: 100 cases of primary GAC diagnosed on biopsy or gastrectomy were included in the study. Immunohistochemical expression of E-cadherin and HER-2/neu was studied with respect to site, Lauren’s histological type, and stages of GAC.
Results: A total of 11 cases showed a loss of E-cadherin expression and 17 cases overexpressed HER-2/neu. Loss of E-cadherin was seen in 26% of Lauren’s diffuse type, but only in 5.7% of intestinal GAC (P=0.014). While 35% of the GAC present at greater curvature showed HER-2/neu overexpression, whereas 16% at antro-pyloric region and none at lesser curvature showed HER-2/neu overexpression (P=0.04). All of the 17 HER-2/neu overexpressing GAC were Lauren’s intestinal type (P=0.012).
Conclusion: Loss of E-cadherin and HER-2/neu overexpression are associated with Lauren’s diffuse and intestinal type respectively. Anti-HER-2/neu monoclonal antibody therapy would be helpful in approximately one-fifth of gastric adenocarcinoma patients.
References
Jemal A, Bray F, Center MM, Ferlay J, Ward E, Forman D. Global Cancer Statistics. CA Cancer J Clin 2011;61:69–90.
Lauren P. The histological main types of gastric carcinoma: Diffuse and so-called intestinal-type carcinoma. An attempt at a histo-clinical classification. Acta Pathol Microbiol Scand 1965; 64: 31-49
Liu X, Chu K. E-cadherin and Gastric Cancer: Cause, Consequence, and Applications. BioMed Research International 2014, Article ID 637308, 9 pages. http://dx.doi.org/10.1155/ 2014/637308.
Bosman FT, Carneiro F, Hruban RH, Theise ND. WHO Classification of Tumours of the Digestive system 4th edition. IARC. Lyon 2010. Pg 48-63.
Ruschoff J, Hanna W, Bilous M, Hofmann M, Osamura RY, Penault-Llorca F, et al. HER2 testing in gastric cancer: a practical approach. Mod Pathol 2012; 25: 637–50.
Bang Y-J, Van Cutsem E, Feyereislova A, Chung HC, Shen L, Sawaki A, et al. Trastuzumab in combination with chemotherapy versus chemotherapy alone for treatment of HER2-positive advanced gastric or gastro-oesophageal junction cancer (ToGA): a phase 3, open-label, randomised controlled trial. Lancet. 2010 Aug 28;376(9742):687–97.
Berx G, Becker KF, Hofler H, van Roy F. Mutations of the human E-cadherin (CDH1) GENE. Hum Mutat 1998; 12:226-37.
Shimoyama Y, Hirohasht S. Expression of E- and P-Cadherin in gastric Carcinomas. Cancer Res. 1991;51:2185-92.
Xing XB, Tang YB, Yuan G, Wang YF, Wang JH, Yang Y, et al. The prognostic value of E-cadherin in gastric cancer: A meta-analysis Int J Cancer 2013:132, 2589–96.
Bukholm IK, Nesland JM, Boressen Dale AL. Re-expression of E-Cadherin, α-catenin and β- catenin, but not of γ- catenin, in metastatic tissue from breast cancer patients. J Pathol 2000;190:15-19.
Raziee HR, Kermani T, Ghaffarzadegan, Shageri T, Ghavamnasiri R. HER-2/neu expression in resectable gastric cancer and its relationship with histopathologic subtype, grade and stage. Iranian Journal of Basic Medical Sciences. 2007;10:139-45.
Lordick F, Bang YJ, Kang YK et al. HER2-positive advanced gastric cancer: similar HER2-positivity levels to breast cancer. Eur J Cancer 2007; 5(4): 271.
Lakshmi V, Valluru VR, Madhavi J, Valluru N. Role of Her 2 Neu in Gastric Carcinoma-3 Year Study in a Medical College Hospital Indian Journal of Applied Research 2014;4:47-50.
Rajagopal I, Niveditha SR, Sahadev R, Nagappa PK, Rajendra SG. HER 2 Expression in Gastric and Gastro-esophageal Junction (GEJ) Adenocarcinomas. Journal of Clinical and Diagnostic Research 2015; 9: 6-10.
Yonemura Y, Ninomiya I, Yamaguchi A, Fushida S, Kimura H, Ohoyama S, et al. Evaluation of immunoreactivity for erbB-2 protein as a marker of poor short term prognosis in gastric cancer. Cancer Res. 1991 Feb 1;51(3):1034–8.
Tanner M, Hollmén M, Junttila TT, Kapanen AI, Tommola S, Soini Y, et al. Amplification of HER-2 in gastric carcinoma: association with Topoisomerase IIalpha gene amplification, intestinal type, poor prognosis and sensitivity to trastuzumab. Ann Oncol. 2005 Feb;16(2):273–8.
Published
Issue
Section
License
Copyright for articles published in this journal is retained by the authors, with first publication rights granted to the ‘Internet Journal of Rheumatology and Clinical Immunology’. All the published content, except where otherwise noted, is licensed under Creative Commons license (CC-BY). However, the license permits any user to download, print out, extract, reuse, archive, and distribute the article for non-commercial purposes, so long as appropriate credit is given to the authors and source of the work.
Authors are permitted and encouraged to post their work online (e.g., in institutional repositories or on their website) after the publication of the manuscript in IJRCI, as it can lead to productive exchanges, as well as earlier and greater citation of published work.